インビザラインで叢生を矯正するには?
叢生をインビザラインで矯正する場合にも基本的には抜歯は必要ありませんが、歯列の乱れの程度によって難症例と診断されるケースでは抜歯が必要となる場合もあります。
当院では、補助的に床矯正装置を使用したりなど、なるべく抜歯せずに済む治療方法をご提案しております。
もちろん、矯正治療には歯とあごの大きさのアンバランス度、歯並びの乱れの度合い、矯正による顔かたちの変化などが関わってくるため、患者様ごとに適した治療法は異なります。当院では、日本矯正歯科学会認定医が精密検査の結果を基に治療法をご提案いたします。
実際の症例
治療の詳細を見る
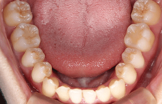
軽度の叢生で一年以内に
治療が完了した症例
治療前
治療後
▼カーソルを合わせると治療後へと変わります
▼写真をタップすると治療後へと
変わります
左側
右側
上顎
下顎
-
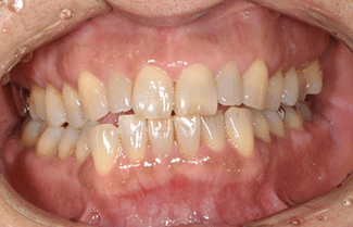
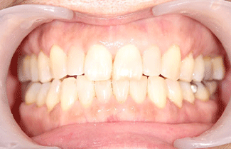
年齢29歳
-
治療内容上の歯が出ていること、下の歯のがたつきが気になるとご来院されました。
症状が軽度だったため、インビザラインライトで矯正を行いました。 -
治療費547,800円
-
治療期間10カ月
-
リスク・副作用矯正治療によって歯根吸収や歯肉退縮、知覚過敏を発症するリスクがあります。
なお、インビザラインは薬機法の対象外のため、医薬品副作用被害救済制度の対象とならない可能性があります。
閉じる
治療の詳細を見る
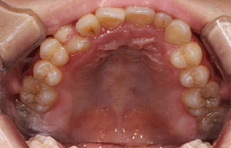
学生の方の叢生治療の症例
治療前
治療後
▼カーソルを合わせると治療後へと変わります
▼写真をタップすると治療後へと
変わります
左側
右側
上顎
下顎
-
年齢14歳
-
治療内容歯のがたつきと、汚れのつきやすさを主訴としてご来院しました。
インビザラインフルで対応しましたが、患者様が成長期にあり、がたつきも重度ではなかったので抜歯を回避できました。 -
治療費767,800円
-
治療期間1年
-
リスク・副作用矯正治療によって歯根吸収や歯肉退縮、知覚過敏を発症するリスクがあります。
なお、インビザラインは薬機法の対象外のため、医薬品副作用被害救済制度の対象とならない可能性があります。
閉じる
治療の詳細を見る
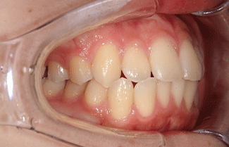
八重歯のお悩みを
解消した症例
治療前
治療後
▼カーソルを合わせると治療後へと変わります
▼写真をタップすると治療後へと
変わります
左側
右側
上顎
下顎
-
年齢20歳
-
治療内容八重歯を気にして治療を希望なさった患者様です。
インビザラインフルで歯並び全体を整えています。 -
治療費767,800円
-
治療期間1年6ヶ月
-
リスク・副作用矯正治療によって歯根吸収や歯肉退縮、知覚過敏を発症するリスクがあります。
なお、インビザラインは薬機法の対象外のため、医薬品副作用被害救済制度の対象とならない可能性があります。
閉じる
インビザラインで上顎前突を矯正するには?
歯並びの状態によって異なりますが、基本的には歯並び全体を調整して治療を行います。上顎前突が軽度な症例では、部分矯正を行うだけで治療できる場合があります。
また、上顎前突の原因が舌癖(歯を舌で押す、前歯で舌を噛むなど)である場合、その習慣や癖を取り除く指導を行います。インビザラインのアライナー(マウスピース)を毎日装着するだけでなく、ご自身の習慣や癖の見直しも、矯正治療の一環となります。
実際の症例
治療の詳細を見る
叢生を含む上顎前突の症例
治療前
治療後
▼カーソルを合わせると治療後へと変わります
▼写真をタップすると治療後へと
変わります
左側
右側
上顎
下顎
-
年齢18歳
-
治療内容前歯が出ていることを主訴としてご来院なさいました。
歯のがたつき(叢生)も見られ、インビザラインフルで矯正治療を行いました。 -
治療費767,800円
-
治療期間1年9カ月
-
リスク・副作用矯正治療によって歯根吸収や歯肉退縮、知覚過敏を発症するリスクがあります。
なお、インビザラインは薬機法の対象外のため、医薬品副作用被害救済制度の対象とならない可能性があります。
閉じる
治療の詳細を見る
上顎前突の症例
治療前
治療後
▼カーソルを合わせると治療後へと変わります
▼写真をタップすると治療後へと
変わります
左側
右側
上顎
下顎
-
年齢19歳
-
治療内容噛み合わせの悪さが気になるとのことでしたので、インビザラインフルで歯並び全体を整えました。
-
治療費767,800円
-
治療期間2年1カ月
-
リスク・副作用矯正治療によって歯根吸収や歯肉退縮、知覚過敏を発症するリスクがあります。
なお、インビザラインは薬機法の対象外のため、医薬品副作用被害救済制度の対象とならない可能性があります。
閉じる
下の歯が出ている
下顎前突(受け口)
上の歯よりも下の歯が前に出ている噛み合わせを下顎前突(かがくぜんとつ)と言います。他にも受け口や反対咬合と呼ばれる不正咬合です。下顎前突は骨格が原因でおきる場合もありますが、上の前歯が内側に傾いて生えてしまったり、下あごを前に突き出す癖があったりすると、それらも原因になります。
下顎前突は、機能面・審美面ともに悪影響が出る不正咬合です。機能面は、食べ物の噛みにくさ、滑舌、特にサ行の発音のしにくさを感じます。審美面は下あごを突き出したようになるため、コンプレックスを抱えることがあります。
下顎前突の特徴
- 下の前歯が上の前歯より前に出ている
- 滑舌が悪く、特にサ行の発音がしにくい
- 下あごが発達している
インビザラインで下顎前突を矯正するには?
歯の生え方や、癖・習慣などが原因の場合は、インビザラインでの矯正治療を受けることで下顎前突が改善します。しかし、骨格が原因で下顎前突になっている場合、矯正治療だけでは問題が改善しないことがあります。また、成人の場合は、外科的治療を受けなくては根本的な解決にならないケースもあります。
ご自身は矯正だけで治療ができるのかが気になる方は、ぜひ当院でご相談ください。
実際の症例
治療の詳細を見る
軽度の下顎前突を
1年以内に治療した症例
治療前
治療後
▼カーソルを合わせると治療後へと変わります
▼写真をタップすると治療後へと
変わります
左側
右側
上顎
下顎
-
年齢21歳
-
治療内容インビザラインフルで、全体的に歯が出ており、上の前歯が後ろへ傾いた歯列を治療しました。
-
治療費767,800円
-
治療期間7カ月
-
リスク・副作用矯正治療によって歯根吸収や歯肉退縮、知覚過敏を発症するリスクがあります。
なお、インビザラインは薬機法の対象外のため、医薬品副作用被害救済制度の対象とならない可能性があります。
閉じる
治療の詳細を見る
叢生を含む下顎前突の症例
治療前
治療後
▼カーソルを合わせると治療後へと変わります
▼写真をタップすると治療後へと
変わります
左側
右側
上顎
下顎
-
年齢61歳
-
治療内容下の前歯のがたつきと、出っ張りが気になるとご来院されました。
インビザラインフルで矯正を行い、歯列を整えました。 -
治療費767,800円
-
治療期間9カ月
-
リスク・副作用矯正治療によって歯根吸収や歯肉退縮、知覚過敏を発症するリスクがあります。
なお、インビザラインは薬機法の対象外のため、医薬品副作用被害救済制度の対象とならない可能性があります。
閉じる
治療の詳細を見る
抜歯を行って下顎前突を
治療した例
治療前
治療後
▼カーソルを合わせると治療後へと変わります
▼写真をタップすると治療後へと
変わります
左側
右側
上顎
下顎
-
年齢18歳
-
治療内容歯の噛み合わせが気になるとご来院されました。
抜歯が必要な症例だったため、難易度の高い症例にも対応できるインビザラインアドバンスで治療を行いました。 -
治療費877,800円
-
治療期間2年10ヶ月
-
リスク・副作用矯正治療によって歯根吸収や歯肉退縮、知覚過敏を発症するリスクがあります。
なお、インビザラインは薬機法の対象外のため、医薬品副作用被害救済制度の対象とならない可能性があります。
閉じる
上下の歯が出ている
上下顎前突
上下の歯が前方へ出ている噛み合わせのことを、上下顎前突(じょうげがくぜんとつ)といいます。顔を横から見て、鼻の頭とあごの先を直線でつないだ時に直線よりも前に唇が出ていると、歯並び自体が綺麗であっても上下顎前突である可能性があります。これは遺伝が原因である場合もありますが、日常的な口呼吸も後天的な理由として考えられます。
上下顎前突は口元が突き出した見た目となるため、コンプレックスを覚える方が多いです。審美面の問題だけでなく、唇が閉じにくいために口呼吸が多くなることで虫歯や歯周病のリスクが高まったり、ドライマウスになりやすくなったりします。また、発音や滑舌の悪さに悩むこともあります。
上下顎前突の特徴
- 口元が突き出している
- 唇を閉じにくく、無理に閉じるとあごにシワができる
インビザラインで上下顎前突を矯正するには?
口呼吸に起因する上下顎前突である場合、インビザラインによる矯正治療と並行して、鼻炎や蓄膿症などの鼻呼吸を妨げる原因を取り除くことが大切です。口呼吸が習慣となっている方は、意識して鼻呼吸を行うよう指導・トレーニングを行います。
上下顎前突の程度や歯並びに左右されますが、歯列を引っ込めるために抜歯をすることがあります。もしくは、歯と歯の間を少しだけ削って移動できるスペースを作ることで、抜歯をしない矯正ができることもあります。
インビザラインで開咬を矯正するには?
開咬の治療には、矯正治療による歯並びの改善だけでなく、開咬になってしまった原因を取り除くことも重要です。そのため、開咬につながる癖や習慣のある方は、それらを改善するための指導やトレーニングを行います。歯並びに影響を及ぼす癖や習慣のひとつとして口呼吸がある方は、鼻炎や蓄膿症といった口呼吸の原因の治療も必要になります。
また、開咬の治療では症状の度合いにもよりますが、インビザラインだけでなくワイヤー矯正・顎間ゴムを併用した治療を行うこともあります。
実際の症例
治療の詳細を見る
叢生を含む開咬の症例
治療前
治療後
▼カーソルを合わせると治療後へと変わります
▼写真をタップすると治療後へと
変わります
左側
右側
上顎
下顎
-
年齢30歳
-
治療内容歯が出ていて、歯が噛み合わないことを主訴とした患者様です。
叢生と開咬だったため、インビザラインフルで矯正いたしました。 -
治療費767,800円
-
治療期間2年
-
リスク・副作用矯正治療によって歯根吸収や歯肉退縮、知覚過敏を発症するリスクがあります。
なお、インビザラインは薬機法の対象外のため、医薬品副作用被害救済制度の対象とならない可能性があります。
閉じる
上下の歯の噛み合わせが深い
過蓋咬合(かがいこうごう)
噛み合わせたときに、上の前歯が下の前歯に覆いかぶさってしまう不正咬合を過蓋咬合(かがいこうごう)と言います。もともとの骨格といった先天的な要素が過蓋咬合の原因となっている場合もありますが、指しゃぶりや舌癖、口呼吸などの後天的な理由が歯列に影響していることも考えられます。
通常の歯列では、上下額を噛み合わせたとき上の前歯が下の前歯の1/4から1/3程度覆いますが、過蓋咬合では下の前歯がほとんど隠れています。上下額の噛み合わせが深すぎると、下顎の前歯で上顎の内側の歯茎を痛めてしまい歯茎の炎症を引き起こしたり、骨吸収につながることもあります。また、顎関節症のリスクが高まります。
過蓋咬合の特徴
- 下の前歯がほとんど見えない
- 被せ物やブリッジ、入れ歯などが壊れやすい
- 噛んだ時に、上前歯の裏側の歯茎が痛い
インビザラインで過蓋咬合を矯正するには?
過蓋咬合もインビザラインでの矯正治療が可能です。歯並びを整えることで前歯の噛み合わせを浅くし、過蓋咬合の症状を改善します。軽度な場合は、部分矯正を行うだけで治療できることもあります。
また、過蓋咬合になった原因である舌癖をやめるトレーニングを行ったり、口呼吸をしないように鼻づまりの原因を治療したりすることが必要になります。
実際の症例
治療の詳細を見る
1年以内に治療完了した
過蓋咬合の症例
治療前
治療後
▼カーソルを合わせると治療後へと変わります
▼写真をタップすると治療後へと
変わります
左側
右側
上顎
下顎
-
年齢20歳
-
治療内容インビザラインフルで、主訴の前歯の深い噛み合わせを治療しました。
-
治療費767,800円
-
治療期間11ヶ月
-
リスク・副作用矯正治療によって歯根吸収や歯肉退縮、知覚過敏を発症するリスクがあります。
なお、インビザラインは薬機法の対象外のため、医薬品副作用被害救済制度の対象とならない可能性があります。
閉じる
インビザラインで空隙歯列を矯正するには?
空隙歯列の治療には、全体的な矯正が必要となります。生まれつき歯が少ない場合は、インビザラインで歯並びを整えることで隙間を失くす治療を行います。また、歯が小さくて空隙歯列になっている場合は、板状のセラミックを歯に貼りつけるラミネートべニアという治療や、クラウンを被せる治療もあります。
また、正中離開の場合はその症状の度合いにもよりますが、部分矯正でも隙間の改善することがあります。
実際の症例
治療の詳細を見る
軽度の空隙歯列を1年以内に
解消した症例
治療前
治療後
▼カーソルを合わせると治療後へと変わります
▼写真をタップすると治療後へと
変わります
左側
右側
上顎
下顎
-
年齢17歳
-
治療内容歯の隙間が気になってご来院されました。
症状が軽度だったため、インビザラインライトで歯列を整えています。 -
治療費547,800円
-
治療期間9ヶ月
-
リスク・副作用矯正治療によって歯根吸収や歯肉退縮、知覚過敏を発症するリスクがあります。
なお、インビザラインは薬機法の対象外のため、医薬品副作用被害救済制度の対象とならない可能性があります。
閉じる
歯が足りない
先天性欠如
先天性欠如とは、本来はあるべき永久歯が先天的にないことを指した言葉です。永久歯へと生え変わる時期にもかかわらず、自然とグラグラしたり抜けたりしない乳歯がある場合、先天性欠如である可能性が高いです(生え変わりの時期を過ぎても生えっぱなしの乳歯も、二十歳前後で抜けてしまうことが多いです)。
先天性欠如の場合、歯が足りない分の空いたスペースに隣り合う歯が動いたり倒れ込んだりして、歯並びや噛み合わせが崩れやすくなります。先天性欠如が原因で空隙歯列となっているケースもあります。
先天性欠如の特徴
- 永久歯に生え変わらなかった乳歯がある/あった
- 子どもの頃に、医師から「永久歯がない」と言われる
- 一部の歯並びに隙間がある
インビザラインで先天性欠如を矯正するには?
先天性欠如によって歯並びが乱れてしまった場合は、歯列矯正後にブリッジやインプラントなどで欠如した歯を補うか、欠如した歯と対応する永久歯を抜いて矯正治療を行うという方法になります。抜歯する本数は、欠如した本数によって変動します。
先天性欠如は、インビザラインだけで治療が出来ません。いずれの治療法にもメリットとデメリットがあるため、医院でよく相談し、医師と話し合ってご自身が納得できる治療を受けてください。
まずはご相談ください
不正咬合にお悩みの方は、まずは当院にご相談ください。歯並びのお悩みだけでなく、治療方法やお支払い方法のご相談もお受けします。以下からご予約ください。
からの初診ご予約はこちら









